MessageMessage
つかだ矯正歯科からのメッセージ
「とりあえず、顎を広げる装置を使いましょう・・・」といわれたことがありませんか? でも、それは間違いです。
小児矯正は専門家の知識や経験がものをいいます。確かな診断をもとに治療を行いますので、「とりあえず・・・」なんていい加減な
考えで、治療を開始するのはリスクが大きすぎます。
また、よく言われている顎を広げるという概念も間違いです。
これは成人矯正の考え方です。「とりあえず広げる治療を受けたのに、
最終的に永久歯を抜歯する羽目になって」と後悔されている保護者様の話を聞きます。
当院では、早期にを開始することにより、お子様の本来の成長を
ひきだす治療を行っております。お悩みの方は、ぜひ、1度
ご相談ください。
ClinicClinicクリニック紹介
- 医院名
- つかだ矯正歯科
- 住所
- 〒520-2141
滋賀県大津市大江2-12-31
| 診療時間 | 月 | 火 | 水 | 木 | 金 | 土 | 日・祝 |
|---|---|---|---|---|---|---|---|
| 9:30~12:00 | / | ● | ● | / | ● | / | / |
| 14:30~18:30 | / | ● | ● | ● | ● | / | / |
※平日の電話受付は、9:30〜18:30です。お昼休みの12:00〜14:30はお電話がつながりません。
※将来、木曜日の午前も診療する予定です。
MovieMovie漫画で見るつかだ
矯正歯科
永久歯を抜かない矯正歯科
非抜歯矯正のメリット
口腔機能を重視した治療
mESSAGEmESSAGEご挨拶

院長
塚田 祥之
「子どもの歯並びが気になる」とお悩みの保護者の方が年々増えている中で、小児矯正に力を入れる歯科医院も増えてきました。しかし、依然として多くの矯正治療が抜歯を前提に行われているのが現状です。保護者の方が「本当に歯を抜く必要があるのか?」と不安を感じるのは自然なことです。
歯列矯正には「抜歯矯正」と「非抜歯矯正」がありますが、当院では「非抜歯矯正」に重点を置いて治療を行っています。もし、他院でお子さまの抜歯を勧められた方や、抜歯以外に方法がないと感じている方がいらっしゃれば、ぜひ一度当院にご相談ください。
CaseCase症例紹介
-
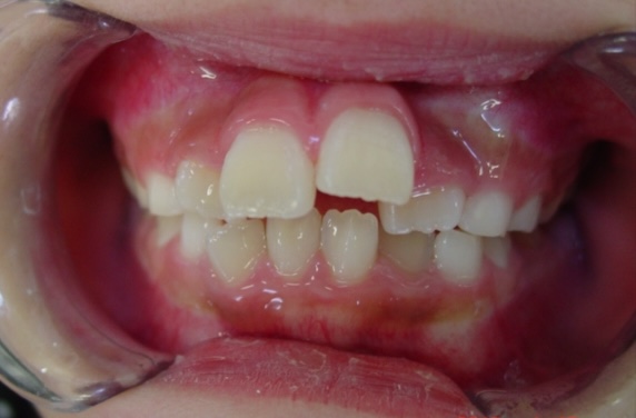
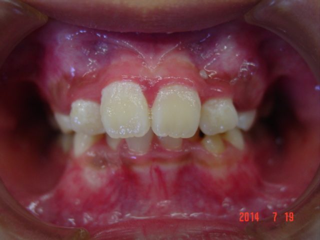
出っ歯
-
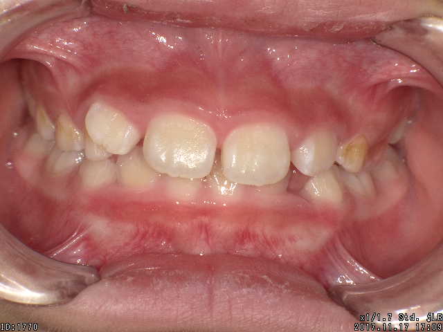
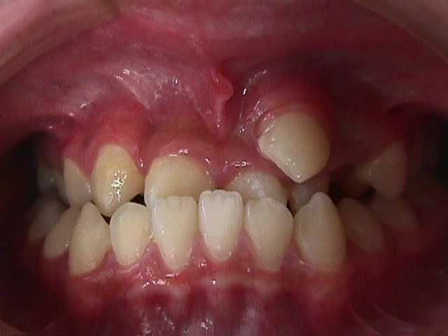
歯がガタガタ
(らんぐい歯) -
噛み合わせが深い
(ディープバイト) -
八重歯
-
下の歯が出ている
(受け口) -
開咬
(オープンバイト) -
欠損症例・埋伏歯症例・
その他歯の位置異常 -
成人矯正の症例
iTeroiTeroiTero
(口腔内スキャナー)

当院では、小さいお子様の心身への負担を極力軽減した矯正治療を目指しています。歯型を取るための3D口腔スキャナーのiTeroや、精密検査に欠かせないCTスキャンなど、院内で使用する機器は最新のものを取り揃えております。
また、iTeroは2台完備し、予約を取りやすくしています。
FeaturesFeatures当院が選ばれる理由

非抜歯矯正
マウスピースによる小児矯正治療を専門的に行っています。最新機器と独自のメソッドで抜歯不要の矯正を実現しています。

総合的なアプローチ
見た目の美しさだけでなく、口腔機能も重視しています。お子様の将来を見据えた治療を行うことで、未来の健康もサポートします。

オーダーメイドの治療
一人ひとりのお子様の症状や状態を細かくチェックし、ベストな治療計画をご提案します。他院の相談で納得できなかった方もお任せください。

忙しい保護者様も安心
保護者様のみでの初診相談を承っております。さらに、LINEでの経過観察など、忙しい保護者様でも安心できるサービスを取り揃えております。

















































